결핵 증상 원인 치료 예방법 알아보기
결핵은 결핵균이 호흡기를 통해몸몸에 들어온 뒤 신체의 저항력이 약해지면 감염되어 발생하는 질환이고요. 결핵은 일반적으로 폐에 일어나는 감염성 질환이지만 뇌 아니면 척수, 신장, 신경, 관절, 림프절 등 다른 조직과 장기에도 병이 발생생겨날 수 있어 사람의 몸 거의 부위에 좌우될끼칠 수 있습니다.






하지만, 그중에서도 폐, 기관지, 후두에서 발생한 결핵만이 전염성을 갖고 있고 다른 조직과 장기에서 발병나는 폐외결핵은 전염성이 없 다고 알려져 있습니다.
결핵은 기원전 7천년 경 석기 사회의 화석에서 그 발자취가 발견된 이래 인류 역사상제일 많은 생명을 앗아간 감염 질환으로, 1882년 독일의 세균학자 로베르트 코흐(Robert Koch)가 결핵의 병원체인 결핵균 (Mycobacterium tuberculosis)을 발견해서 같은 해 3월 학회에 발표함으로써 세상에 알려졌어요.
결핵이란?
바이러스가 아닌 박테리아에 의한 질병이니까 항생제를 통한 치료가 현재는 가능해졌으나, 전염성 및 잠복 능력, 치료기간 등으로 장시간 많은 사람들을 죽음으로 몰고 갔었던 악랄한 질병이라고 합니다. 활동성 결핵이 보이는 환자의 기침이나 재채기로 나온 타액으로만 전염이 가능하고, 비활동성 결핵 및 1차 결핵증 환자에게선 전염이 되지 않아요.






결핵은 결핵균에 의한 감염질환으로 보통은 폐가 감염되어 폐결핵으로 나타나지만, 다른 장기로도 감염될 수 있는 전염병이고요. 결핵은 완벽한 예방이 최대한도이 예방접종이 현재 전무한 상태이라고 합니다. 현재는 BCG 접종만이 결핵의 독보적인 예방접종이지만 이 접종으로 인하여 항체가몸몸에 형성된 정황에서도 예방률이 19~27퍼센트에 불과해요.
결핵 원인
성인의 경우 보통은 2 차성 결핵일 경우가 풍성하게 있다고 합니다. 잠복결핵의 경우 근원적인 면역력을 통해 결핵균이 복제되지 않고 증상을 발현되지 않아요. 감염자도 자신이 결핵 감염자인지 모르는 경우가 풍성하게 있고 면역체계가 결핵균을 막아주고 있기 때문에 타인에게 전염을 시킬 위험도 없지만 치료는 필요해요.
활동성 결핵의 경우 다른 질병 등으로 면역력이 약해졌을 때 간혹 감염되는 결핵이고 잠복 결핵과 차이나게 결핵균이 활동적이라 전염성을 가지도록 돼요. 면역체계가 약한 경우 혹은아니면 노인 그렇지 아니하면 어린이, 예전 결핵 치료를 정확하게 받지 않은 사람은 활동성 결핵이 활성화되어 타인에게 전염시킬 수 있으므로 특히나조심하셔야 하더라고요.






결핵환자가 기침, 가래, 침을 뱉는 행동들을 할 때 결핵균이 공기 중에 떠다니다가 건강한 사람의 폐로 들어가면서 감염돼요. 결핵에 감염되었을 경우 바로 증상이 나타나게 하는경우가 1 차성 결핵이고 증상이 없도록 인체체내에 잠복하고 있다가 증상이 차후 발현되는 경우가 2 차성 결핵이라고 합니다.
결핵 증상
결핵에는 감염되어도 충분히 몸속에서 증식하기 전에는 별다른 증상이 없다가, 건강 상태가 안 좋은쪽으로 강화되면 증상이 갑자기 병이 발생나는 특성을 갖고 있고요. 전신 어느 곳에라도 감염이 가능하나, 흔하게의 경우에는 폐에 감염이 되는 폐결핵의 형태를가장 쉽게 확인할 수 있어요.
결핵 호흡기 증상으로는 기침 증상이가장 흔하고 가래와 혈담이 같이 다가오게되는 상황이 있어요. 피 섞인 가래인 혈담은 객혈로 발생하기도 하며, 전반적으로 병이 진행된 경우에 등장하고, 폐고장이 지나치면 호흡곤란과 같이 흉통을 호소하바랍하더라고요.






전신 증상으로는 발열, 야간 발한, 쇠약감, 신경과민, 식욕부진, 소화불량, 집중력 소실 등과 똑같은 비특출난적인 증상이 생겨날 수 있다하며 특별히식욕부진은 환자의 체중감소를 불러 나타나게 할 수 있어요. 보통 성인 폐결핵 환자의 걸핏하면룩한 시작단계증상으로는 잦은 기침, 객혈, 발열, 전신적인 무력감과 미열, 체중감소를 선택할 수있습니다.
림프절 결핵의 경우에는 전신 증상과 같이 목 부분 또는 겨드랑이 부분의 림프절이 커져 몸이 쑤시거나 압통을 체감할 수 있다하며 비뇨생식계 결핵일 경우에는 혈뇨와 빈뇨 또는 배뇨곤란 등이 나타나고 골관절 결핵에서는 해당 부위의 관절에 통증이 나타나게 돼요.
중추신경계 결핵일 경우에는 구토와 두통 및 의식 낮아지게 등의 증상이 발생하기원하고요. 정확한 원인 없도록 2~3주 이상 기침 등의 호흡기 증상이 계속되면 결핵의 가능성이 높아요.
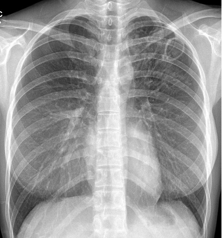
결핵 진단법
결핵 진단은 흉부 엑스선 검사, 객담 도말 검사, 객담 배양 검사로 객담에서 결핵균을 체크하는 방법으로 진행해요. 취침 시에 기관지 속에 결핵균이 고여서 증식하여서 기상한 뒤에 깊게 기침을 하여 아침의 첫 가래를 뱉은 후 검사를 진행해요. 가래는 3일간 매일 한번 아침에 기상한 직후의 객담을 모은 것으로 검사해요.






요즘 활발히 계획한 대로 일을 되는 검사법은 결핵 유전자를 이용한 진단법으로, 기존의 배양법보다 더 많이 정확한 방법이라고 합니다. 그리고 혈액 속의 백혈구가 생산하는 인터페론 감마의 수치를 도량해서 결핵을 진단하는 방법도 존재하지만 이는 결핵균에 노출이 된 실태를 증명할 뿐이며 활동성 결핵 가부를 알 수 없다고 한다는 단점이 있고요.
결핵 예방법
결핵 예방을 위하여는너무하게세 가지 방법이 있고요. BCG 접종이란 결핵균 감염을 받지 않은 인류에게 극도로 약한 균을 막아줘서 결핵에 대한 면역을 부여하는 백신이라고 합니다. 감염 판정을 받고 나서는 잠재성 결핵 감염증 치료를 해요. 요즘 감염된 사람이 향후 1~2년 후에 병에 걸려발생할수 있으며 예방약으로 요양에는 이소니아디드를 6~9개월 복용해요. 진단은 투베르쿨린 반응, 혈액검사를 하게 돼요.






결핵 치료
결핵케어에 활용할 수 있는 항결핵제는 모두 9-10종 규모가 있다고 하는데, 이 중 효과가 좋다고 하며 반작용이 적어 일전에적으로 활용하는 항 결핵제를 '1차 약제'라고 하고, 이보다 효능은 줄어들게면서 부작용은 더 심하여 부득이한던가아니라면 반드시 필히 에만 활용하는 항결핵제를 '2차 약제'라고요.
치료를 통해 결핵은 거의 매번 치료될 수 있어요. 항생제는 상식적으로 6개월 동안 복용해야 하더라고요. 결핵의 일부 형태는 특정 항생제에 내성이 있기 때문에 몇 가지 다른 항생제가 활용된다고 합니다. 약물에 내성이 있는 결핵에 감염되면 6가지 이상의 다른 약물로 치료가 필요할 수 있다고 합니다.
폐결핵 진단을 받으면 치료 후 2~3주 정도 전염된다고 합니다. 일반적으로 이 시간 동안 고립될 필요는 없지만, 가족과 친구들에게 전염되는 것을 막기 위해 몇 가지 기본적인 예방 대처를 취하는게 중요해요.
2023.06.18 - [분류 전체보기] - 뇌졸중 전조증상 8가지 요약정리
뇌졸중 전조증상 8가지 요약정리
뇌졸중 전조증상 8가지 요약정리 뇌졸중에는 상식적으로 등장시키는 전조증상이 있으니까 이 전조증상을 빨리 알아차려 골든타임을 놓치지 않고 병원에 방문, 치료하시는게 아주 중요해요. 뇌
beat.magicpurplewhale.net
2023.06.18 - [분류 전체보기] - 난소암 초기증상 8가지 및 치료방법
난소암 초기증상 8가지 및 치료방법
난소암 초기증상 8가지 및 치료방법 난소암은 소리없는 살인자라고 불리기도 하는데 이는 시작단계증상이 대다수 없어 조기발견이 까다롭다고합니다. 이미 진행된 상태로 발견하다가 보면 3기
beat.magicpurplewhale.net
2023.06.05 - [분류 전체보기] - 간경화 초기증상 7가지 요약정리
간경화 초기증상 7가지 요약정리
간경화 초기증상 7가지 요약정리 우리의 간은 우리를 강력하게 유지하기 위한 하루에 여기저기 기능을 거행하더라고요. 그것은 몸 내부에서 독소를 사라지게해고, 음식을 소화하는 데 도움되는
beat.magicpurplewhale.net